Tooth Colored Restorations

Ahuja Dental Care
Ahuja Dental Care

Tooth-Colored Restorations – Restore Your Smile Naturally ✨

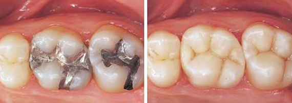
Tooth-Colored Restorations, also called “white fillings,” are a safe, modern, and aesthetic alternative to traditional silver (amalgam) fillings. They restore the strength and beauty of your teeth while blending in seamlessly with your natural smile.

Key Benefits of Tooth-Colored Restorations

  • Natural Appearance: Matches the shade of your tooth for a flawless, invisible restoration.
  • Metal-Free & Mercury-Free: Safe, biocompatible, and environmentally friendly.
  • Tooth Strength: Bonded to the tooth, making it stronger and more resistant to fractures.
  • Durable & Repairable: Long-lasting, with the option for easy repairs if needed.
  • Comfortable Fit: Precisely contoured to your bite for natural function.

Tooth-Colored vs. Silver Fillings

Silver (amalgam) fillings are made of a mixture of metals, including mercury. Over time, they can expand and contract differently than your teeth, leading to cracks, breaks, or discomfort.

In contrast, composite (tooth-colored) restorations are bonded to the tooth structure, providing better stability, safety, and appearance.

How Are Tooth-Colored Restorations Placed?

  1. The decayed or damaged part of the tooth is carefully removed.
  2. A bonding agent is applied to ensure a strong attachment.
  3. Composite resin (tooth-colored material) is layered and sculpted.
  4. A special curing light hardens the filling.
  5. The filling is polished and shaped for a perfect, natural finish.

Things to Consider

  • Placement requires more time and precision compared to silver fillings.
  • They may be slightly more expensive due to advanced technology and technique.
  • Some insurance providers may cover only the cost of amalgam restorations.

Ideal Candidates for Tooth-Colored Restorations

  • Patients with small to medium cavities.
  • Those looking for a mercury-free, natural-looking option.
  • Individuals wanting to replace old, worn-out silver fillings.

The Future of Restorative Dentistry

With advances in dental materials and bonding techniques, tooth-colored restorations are now considered the standard of care in modern dentistry. They provide strength, safety, and beauty—all in one treatment.

Choose tooth-colored restorations for a smile that’s healthy, strong, and naturally beautiful!